Oplysningerne På Webstedet Er Ikke Medicinsk Rådgivning. Vi Sælger Ikke Noget. Nøjagtigheden Af ​​Oversættelsen Er Ikke Garanteret. Ansvarsfraskrivelse



Billede af vaskulær (multi-infarkt) demens 1

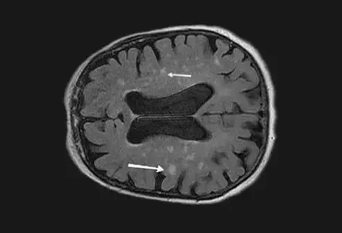
Picture of Vascular (Multi-Infarct) Dementia

Vaskulær Demens er den næst mest almindelige årsag til demens efter Alzheimers sygdom . Det tegner sig for op til 20 % af alle demens og er forårsaget af hjerneskade fra cerebrovaskulære eller kardiovaskulære problemer - normalt slag. Det kan også være resultatet af genetiske sygdomme endocarditis (Infektion af en hjerteventil) eller amyloid angiopati (en proces, hvor amyloidprotein bygger sig op i hjernens blodkar, der undertiden forårsager hæmoragiske eller 'blødende' slag). I mange tilfælde kan det eksistere sammen med Alzheimers sygdom. I modsætning til mennesker med Alzheimers sygdomme opretholder mennesker med vaskulær demens ofte deres personlighed og normale niveauer af følelsesmæssig lydhørhed indtil de senere stadier af sygdommen. Mennesker med vaskulær demens vandrer ofte om natten og har ofte andre problemer, der ofte findes hos mennesker, der har haft et slagtilfælde inklusive depression og inkontinens.

Relaterede emner



Sidepåvirkninger af plan B -pille
Gennemgang af William C. Shiel Jr. MD FACP FAC den 23. november 2009

Billedkilde: Alzheimers sygdomsuddannelse og henvisning Center National Institute on Aging

Tekst: 'Dementia' MedicineNet