Oplysningerne På Webstedet Er Ikke Medicinsk Rådgivning. Vi Sælger Ikke Noget. Nøjagtigheden Af ​​Oversættelsen Er Ikke Garanteret. Ansvarsfraskrivelse



Parasitter: Se hvad der spiser din hud

Bedbugs

Furniture wallpaper mattresses and clutter provide nesting spots for these small flat insects.

Møbler tapetmadrasser og rod giver hekkepladser til disse små flade insekter. De kan godt lide at bo i nærheden af ​​mennesker eller kæledyr, og de kommer ud, mens du sover for at fodre med dit blod. Bedbugs forårsager ikke sygdom, men du har måske en allergisk reaktion på deres bid. Hvis du skraber for meget, kunne det bitte område blive inficeret. Brug antiseptiske cremer eller lotioner, eller tag en antihistamin for at lette kløen.

Lus

Disse insekter lever på dit blod. Der er tre typer: hovedkrop og pubic. Kun kropslus spredte sygdomme. Da de gennemsøger, kan du få lus gennem tæt kontakt med nogen. De lægger æg på dig, og kløen starter, når de klekkes. Du kan behandle dem med over-the-counter- og receptpligtig medicin og shampoo.



Fnat

En mide, der graver i din krop og lægger æg, forårsager denne tilstand. Du får det fra hud-til-hud-kontakt med en inficeret person. Symptomerne inkluderer kløe om natten En bummy udslæt sår og crusty patches. Du kan behandle det med en receptpligtig medicin, der dræber miderne kaldet scabicid.



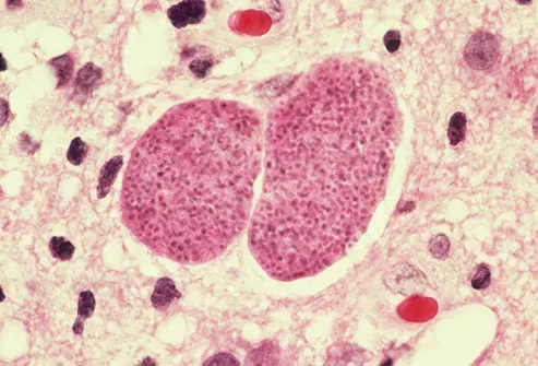
Svinekød bændelorm

Du kan ikke få disse bugs fra at spise svinekød, medmindre det er råt eller undercooked. Både mennesker og svin bærer dem, men de spredes, når du sluger ægene fra malet mad og vand. Du kan også få dem, hvis du kommer i kontakt med fæces fra en person, der har dem. De inficerer tarmen og hjernen, som kan føre til en sygdom, der forårsager hovedpine og anfald kaldet cysticercosis. Nogle mennesker bliver bedre uden behandling. Andre har brug for medicin eller kirurgi.

Brain-spisende amøbe

Folk i USA behøver ikke at bekymre sig så meget om denne parasit, som folk i Sydøstasien gør. Fejlen også kendt som N. Fowleri Lever i varmt ferskvand og det kommer ind i kroppen gennem næsen. Det forårsager en tilstand, der ødelægger hjernevæv kaldet primær amebisk meningoencephalitis. Symptomer inkluderer hovedpine feber opkast forvirring stiv nakkebeslag og tab af balance. Kun eksperimentelle behandlinger er tilgængelige nu, så overlevelsesraten er lav.



Rundeorme

De fleste af disse bugs inficerer dine tarme. Men den, der forårsager trichinose, påvirker også dine muskler.

Almindelige rundormsygdomme og deres symptomer inkluderer:

  • Ascariasis - mavesmerter
  • Hookworm - blodtab
  • Pinworm - Anal kløe
  • Trichinosis - Smertefeber Ansigt hævelse lyserødt øjeudslæt
  • Piskorm - slimvand og blod i afføring rektal prolaps (når en del af eller hele endetarmen glider ud af sted)

Din læge kan ordinere medicin til behandling af disse infektioner.

Giardia

Hvis du nogensinde har campet, og du kom ned med diarré gas mavekramper oppustethed og kvalme, har du sandsynligvis fanget denne fejl. Du får det gennem mad eller drikkevand eller fra kontakt med fæces fra en inficeret person eller et dyr. Sygdommen kan behandles med receptpligtig medicin.

T. Cruzi

Denne parasit forårsager Chagas sygdom, som kan være livstruende. Folk bliver inficeret fra kontakt med bugens fæces. Symptomer dukker hurtigt op, da feber træthed ømmer hovedpine udslæt tab af appetit diarré opkast og hævede øjenlåg. Senere kan det føre til problemer med hjerte og tarm. Læger behandler sygdommen og dræber parasitten med medicin.

Cryptosporidium

Denne bug kaldes også 'krypto', og det påvirker dine tarme. Det spredes ved kontakt med afføringen af ​​en inficeret person eller et dyr. Folk har en tendens til at fange det fra poolvand, især børn. Diarré, det forårsager, kan vare længe, ​​men det forsvinder normalt på egen hånd uden behandling.

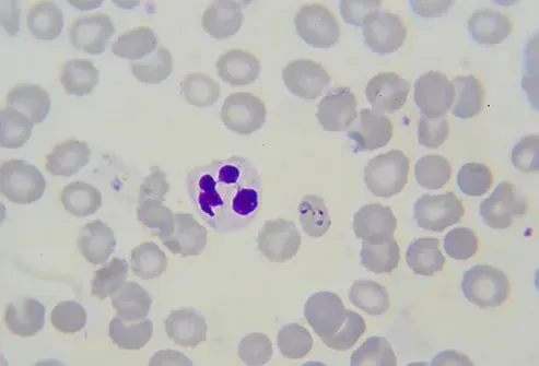
A. Falciparum

Nogle myg bærer denne parasit, der forårsager malaria. Sygdommen dræber flere mennesker end nogen anden af ​​sin art. Det føles som influenza, og det forårsager kølerne til afkøling af krop og undertiden kvalme eller opkast. En læge skal se på nogens blod under et mikroskop for at fortælle, om de har det. Tidlig behandling er bedst. Visse receptpligtige lægemidler kan helbrede de fleste typer.

T. vaginal

Denne parasit forårsager en seksuelt overført sygdom kaldet trichomoniasis den mest almindelige hærdelige STD. De fleste inficerede mennesker har ikke nogen symptomer, men nogle kan muligvis bemærke kløeforbrænding eller irritation af deres penis eller vagina. Det behandles med antibiotika.

D. fragilis

Læger er ikke sikre på, hvordan du får denne parasit, der inficerer din store tarm. Nogle mennesker har mavesmerter og diarré, men andre har ingen symptomer. Det er almindeligt i alle dele af verden. Din læge kan ordinere medicin til at hjælpe dig med at slippe af med det.

Toxoplasma

Denne fejl gør sit hjem inden for kødvand og inficeret kattes fæces. Det forårsager en sygdom kaldet toxoplasmosis, som kan føles som influenza. Gravide kvinder og mennesker med svage immunsystemer kan have alvorlige symptomer som cyster i musklerne hjerne og øjne. Normalt behandles det ikke, men en læge kan ordinere medicin til en alvorlig infektion.

Guinea orm

Denne rundorms dage med spredning af sygdom er næsten udført takket være sundhedsgrupper, der lærer folk, hvordan man undgår at blive inficeret. Folk fanger fejlen ved at drikke vand fra damme inficeret med larver. Ormene kammerat og vokser i maven brast derefter ud gennem en blister på huden. Symptomer kan omfatte hævelse i feber og smerter i nærheden af ​​blisteren, men det tager normalt et år efter infektion til advarselsskilte at dukke op. Der er ingen behandling.

Good-Guy-parasitter?

Parasitter gør en hel masse dårlige, men nogle forskere forsøger at finde ud af, om de også kan bruges til godt. Undersøgelser af 'ormeterapi', hvor du sluger parasitæg til behandling af sygdom, viser, at det hjælper med at lindre symptomer på colitis crohn '' sygdom type 1 diabetes og astma. Det er stadig eksperimentelt i USA

Parasitter: Se hvad der spiser din hud

Kilder:

Billeder leveret af:

  1. Istock/Getty Images
  2. Istock/Getty Images
  3. Scott Camazine/Getty Images
  4. Thinkstock
  5. 'Taenia Solium Scolex' af Roberto J. Galindo. Licenseret under CC BY -SA 3.0 via Wikimedia Commons -
  6. Istock/Getty Images
  7. Science Picture Co./Getty Images
  8. Science Picture Co./Getty Images
  9. Science Picture Co./Getty Images
  10. CDC
  11. Science Picture Co./Getty Images
  12. Visuals Unlimited/Getty Images
  13. Oxford Scientific/Getty Images
  14. Photolibrary/Getty Images
  15. Carter Center

Referencer:

  • Centers for Sygdomskontrol: 'Sengbugs FAQ' 'parasitter - lus' 'Definition af ringorm' 'Svampe -negleinfektioner' 'Malaria - Ofte stillede spørgsmål' om parasitter '' taeniasis '' parasitter - cysticercosis behandling '' parasiter - cysticercoses 'parasitter - giardia' parasitter - giardia faqssites 'Cryptosporidium -infektion - Generelt offentlighed' 'Dientamoeba Fragilis ofte stillede spørgsmål' parasitter - fnat '' fake - ofte stillede spørgsmål Trypanosomiasis (også kendt som Chagas sygdom) '' Parasitter - Dracunculiasis (også kendt som Guinea Worms Disease). '
  • Studdiford J. Amerikansk familielæge 2012.
  • Badiaga S. Klinisk mikrobiologi og infektion 2012.
  • Johns Hopkins Medicine: 'Tinea -infektioner (ringorm).'
  • California Department of Public Health: 'Cysticercosis.'
  • National Institute of Allergy and Infectious Diseases: 'Parasitic Roundworm Disease' 'Ascariasis' 'Hookworm Disease' 'Pinworm Infektion' 'Strongyloidiasis' 'Trichinosis' 'WHIPSWORM SYDDOM Ofte stillede spørgsmål.'
  • Amerikansk familielæge: 'Diagnosebehandling og forebyggelse af giardiasis.'
  • Medscape: 'Cryptosporidiosis'

Dette værktøj giver ikke medicinsk rådgivning. Se yderligere oplysninger:

Dette værktøj giver ikke medicinsk rådgivning. Det er kun beregnet til generelle informationsformål og adresserer ikke individuelle omstændigheder. Det er ikke en erstatning for professionel diagnose eller behandling af medicinsk rådgivning eller behandling og bør ikke være afhængig af at tage beslutninger om dit helbred. Ignorere aldrig professionel medicinsk rådgivning i at søge behandling på grund af noget, du har læst på RXList -webstedet. Hvis du tror, ​​at du måske har en medicinsk nødsituation, skal du straks ringe til din læge eller ringe 911.

© 1996-2025 WebMD LLC . Alle rettigheder forbeholdes.
Kilde lysbilledshow på webmd